妙手仁心|颅内感染患者的春天
颅内感染死亡率很高,临床治疗上是比较棘手的疾病。近日,桂林医学院第二附属医院神经外科通过脑室外穿刺引流+腰大池置管引流+脑脓肿穿刺引流微创手术,顺利治愈一名颅内感染的患者。为表示感谢,患者和家属特地送来一面锦旗。

团队协作,排除困难
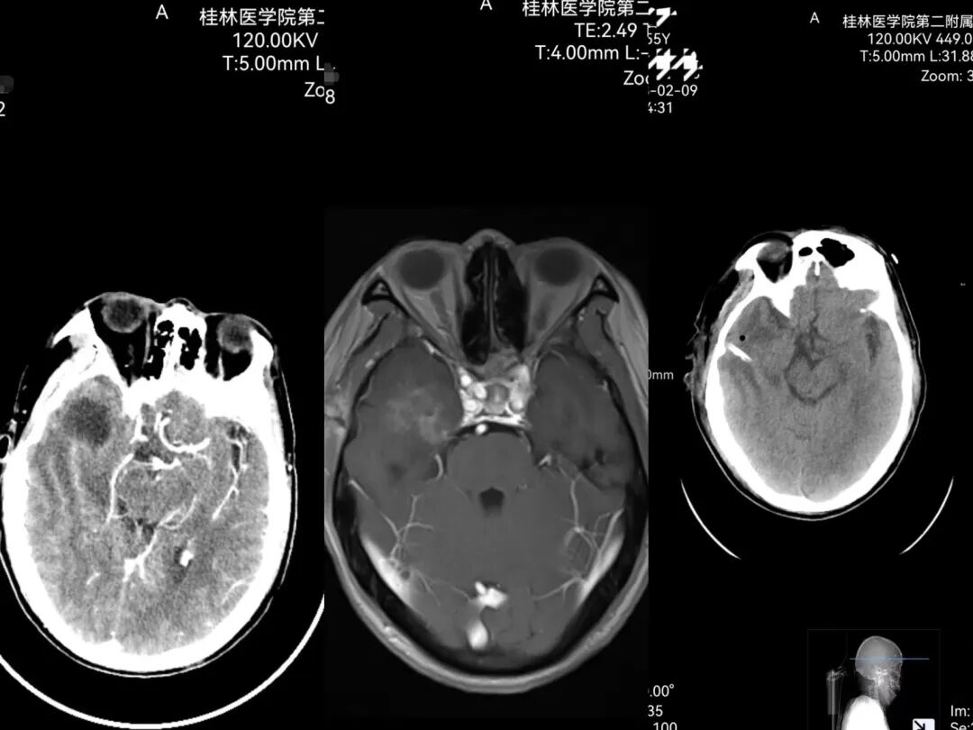
患者李先生,55岁,突发头痛、左侧肢体无力40小时入住神经外科,经查后确诊为颅内感染,并伴有右侧颞叶脑脓肿。在所有的感染性疾病当中,颅内感染是最严重的一种,也是中枢神经系统较为严重的疾病之一。
针对患者的情况,科室负责人李深誉团队考虑该疾病常规抗感染治疗无明显好转,经过讨论分析,为减少对病人颅内重要功能区的手术创伤,提高病人的预后,决定对患者实施脑室外穿刺引流+腰大池置管引流+脑脓肿穿刺引流术。


术后病人成功复苏,言语清晰,左侧肢体肌力较术前明显好转,术后复查CT提示颅内脓肿完全消失。术后经过神经外科医护团队的精心治疗,病人体征逐步恢复正常,同时神志恢复清醒,手术取得了满意的效果,日前患者已顺利出院。
,时长00:12此次微创手术的成功,充分展示了神经外科团队的协作能力和专业技术。该科始终秉承“排除一切困难为患者服务”的理念,团结奋进、与时俱进、开拓创新,做好百姓健康的守护者。
李深誉介绍说,细菌、病毒随着血液循环,经过血脑屏障,侵入到中枢神经系统即颅脑内,称为颅内感染,颅内感染包括脑炎、脑膜炎和脑脓肿,多由于细菌、病毒、寄生虫、支原体、衣原体、霉菌、立克次体等病原体侵入到中枢神经系统即颅脑内,而产生一系列症状。常见表现是高热、头疼、颅压高、恶心、呕吐、昏迷、神志改变等。
一旦出现炎症,颅内压升高,病人会出现昏迷,时间长了会增加死亡的概率。因此,颅内感染应该引起足够的重视,应早期诊断,积极治疗,减少后遗症和并发症的发生。
